痛みに配慮した治療を心がけている愛媛県松山市の歯医者

痛みに配慮した治療など「一本の歯を大事にする治療」を心がけている松山市の歯医者【伊藤歯科医院】
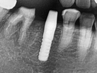
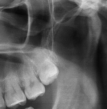
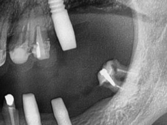
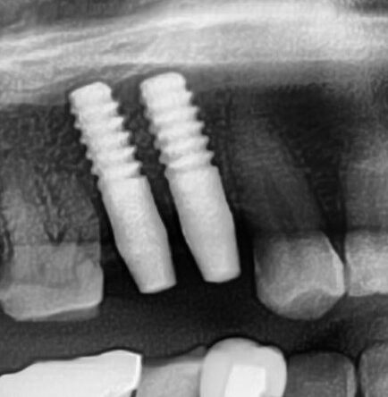
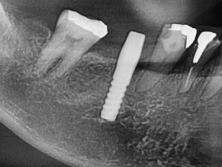
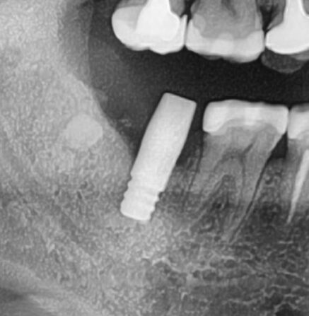
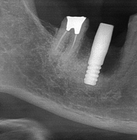
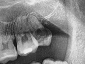
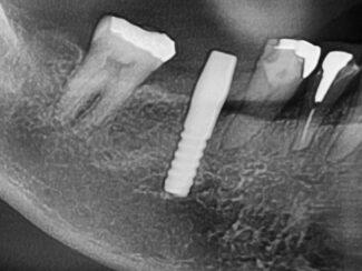
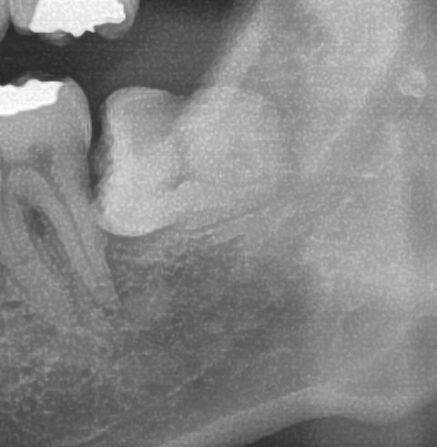
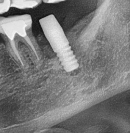
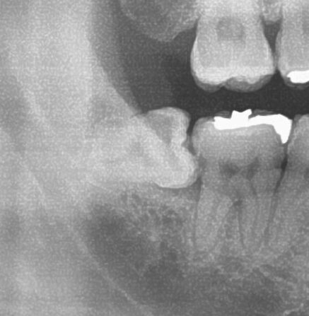
愛媛県松山市のインプラント治療・親知らず抜歯・歯周病治療・審美歯科を中心に診療を行っております。歯の保存を第一に考えた治療を基本として、皆さまが楽しく喜んで行きたくなるような予防歯科、定期検診を中心とした歯医者を目指しています。

※土曜日 9:00~12:00,13:00~16:00まで
休診日 日・祝祭日
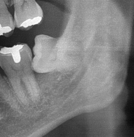
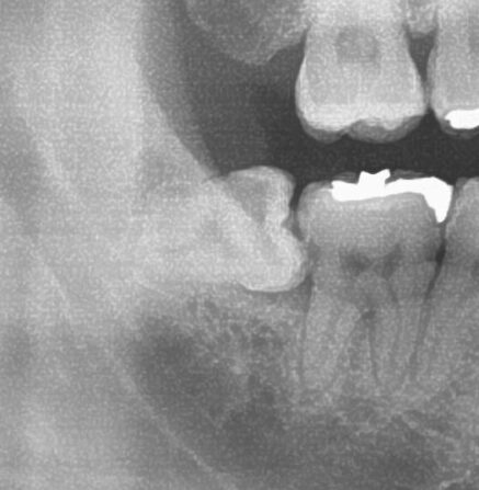
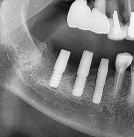
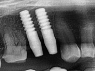
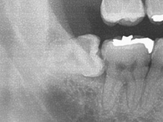
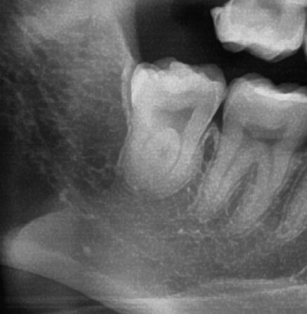
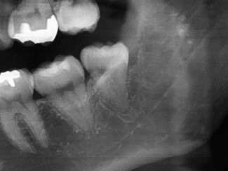
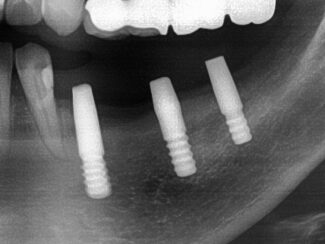
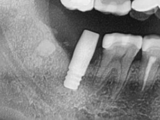
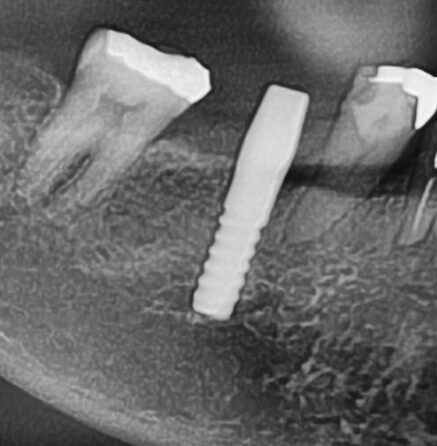
当院では、予防歯科を中心に一般歯科、小児歯科、インプラントや親知らずなどの口腔外科や
審美歯科(セラミック治療)、目立たない入れ歯や矯正歯科(マウスピース矯正)など、幅広く対応しています。

当院では痛みに配慮し、歯の保存を第一に考えた治療を行っています。
患者さんに治療方法の理解と同意がしっかり得られた上で原則として健康保険適用内で保険治療を中心の治療を進めてまいります。

