コラム一覧

親知らずの抜歯4連発っ!!

みなさん、こんにちは。伊藤歯科医院です。

当院は年始は1月5日からの診療でした!

そんな1日を振り返ると、なんと親知らずの抜歯の患者様が4名も!

今日は、その様子をお話したいと思います。

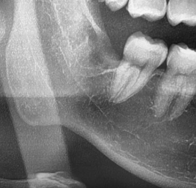
まず1人目の患者様。

年明けに予定していた右下の親知らずの抜歯を行いました。

左下の親知らずは一部が見えており、レントゲンで詳しく確認すると、手前の歯を押すように斜めに生えていました。

無事に抜歯終了!

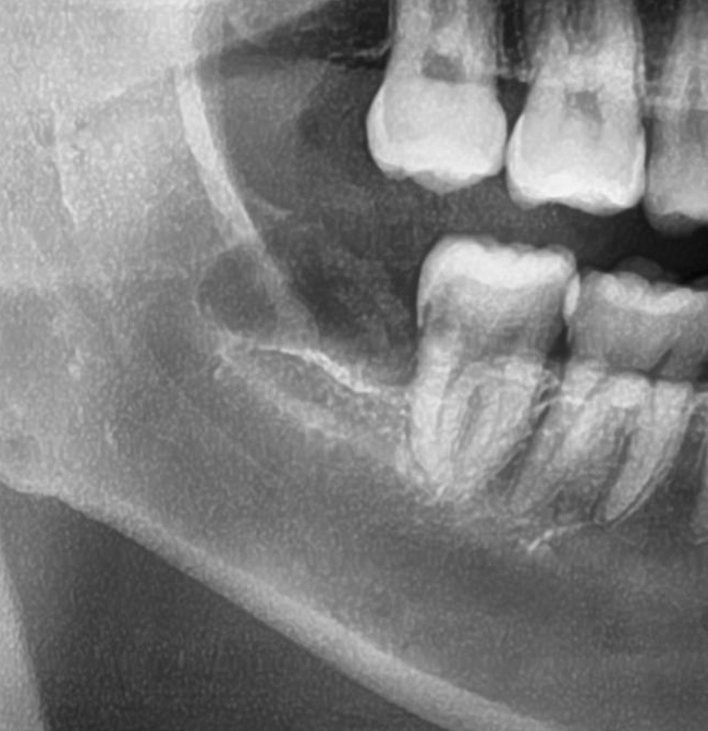
続いて2人目の患者様。

年末に右下の歯茎が腫れたとのこと。

確認してみると、右下の親知らずが歯茎の中でやや斜めに埋まっています。

抜歯開始。

抜歯終了。

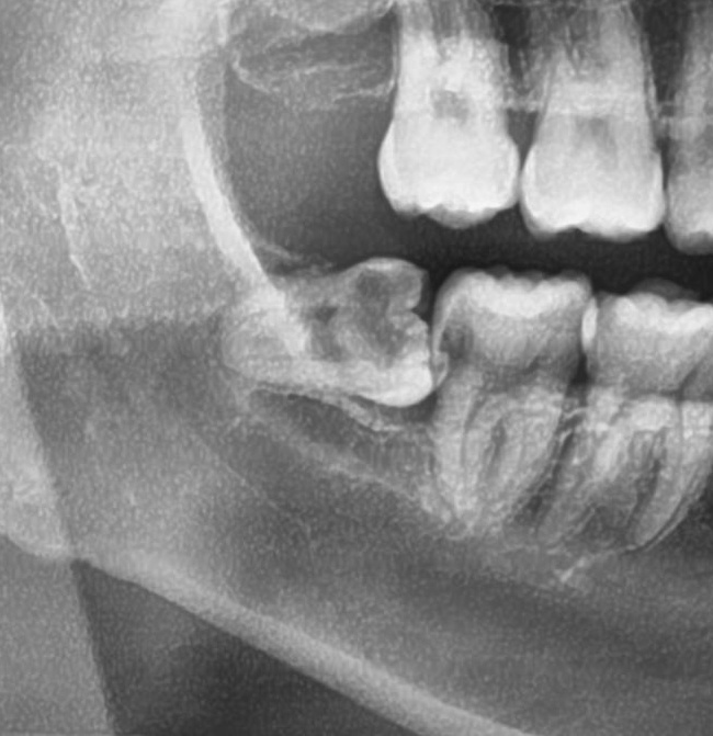
次に3番目の患者様。

左下の親知らずに入れていた詰め物が外れたため、今回抜歯することになりました。

頭もしっかり出ている状態でまっすぐに生えていたので、あっという間に抜歯終了。

そして4番目の患者様。

年明けに予定していた右上の親知らずの抜歯を行いました。

CTで確認すると、上顎洞に近いため「上顎洞炎」になる可能性がある、難症例です。

事前にお薬を飲んでいだたいていよいよ抜歯開始です。

親知らずは完全に歯茎の中に埋まっている状態のため、まずは歯茎を切開。

親知らずの周りの骨を最小限削っていき、抜いていくスペースを作ります。

そこから親知らずを掴んで慎重に抜いていき、抜歯完了です!

みなさんには、痛み止めのお薬と、抗生物質、傷口を消毒するためのうがい薬を数日分お渡ししました。

抜歯後の経過には個人差がありますが、痛みや出血、腫れやしびれなどの症状が出る場合があります。

もし、症状が出た場合でも、いずれも数日から1週間ほどで改善するケースがほとんどです。

こんな感じで、賑やかに幕を開けた初日となりました。

関連記事

最近の記事

  1. 今日のお花 2026/4/21

  2. オレンジ色の贈り物

  3. 今日のお花 2026/4/20

2026年4月
 12345
6789101112
13141516171819
20212223242526
27282930  
アーカイブ