コラム一覧

左下親知らずの抜歯

みなさん、こんにちは。伊藤歯科医院です。

今日は左下の親知らずの抜歯のお話です。

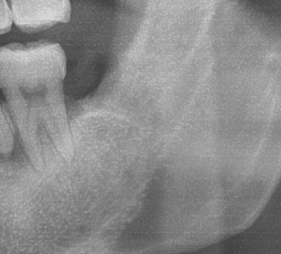
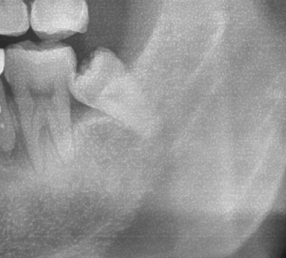
まずお口の中を確認してみると、左下の親知らずを確認することはできません。

次にパノラマ写真を撮影してみると、左下の親知らずは歯茎の中で手前の歯を押すように斜めに生えているのが確認できました。

親知らずが生えている位置が、神経に近い、あるいは神経に当たっている場合は、大きな病院に紹介する場合もあります。

親知らずの根っこは下歯槽神経からは十分距離があるようです。

そして本日、左下親知らずの抜歯を行うことになりました。

脈拍や血圧、酸素飽和度を測り体調を確認し、抜歯の注意事項をお伝えして、事前に痛み止めと抗生物質のお薬を飲んでいただき、さっそく抜歯開始です。

まずは親知らずは歯茎の下に隠れている状態なので、歯茎を切開していきます。

親知らずの周りの骨を最小限削っていき、抜いていくスペースを作ります。

そこから親知らずの頭を掴んで、慎重に抜いていきました。

傷口を縫合し抜歯終了です。

下顎の親知らずの抜歯の場合、歯根が下顎の神経に非常に近いケースでは、統計的にしびれた感じか6ヶ月ぐらい継続する症例が200例に1例ほどの割合で起こることがあります。

また、抜歯後の経過には個人差がありますが、痛みや出血、腫れやしびれなどの症状が出る場合があります。

もし、症状が出た場合でも、いずれも数日から1週間ほどで改善するケースがほとんどです。

抜歯後には痛み止めのお薬と、抗生物質、傷口を消毒するためのうがい薬を数日分お渡ししています。

抜歯後の腫れや痛みも軽減することができますので安心してください。

左下親知らずの抜歯、お疲れ様でした。

関連記事

最近の記事

  1. 左下親知らずの抜歯

  2. 今日のお花 2026/4/18

  3. 話題のカフェへ潜入!☕

2026年4月
 12345
6789101112
13141516171819
20212223242526
27282930  
アーカイブ