みなさん、こんにちは。伊藤歯科医院です。
今日は右下の親知らずの抜歯のお話です。
まずお口の中を見てみると、右下の親知らずは一部が見える状態です。
次にパノラマ写真を撮影してみると、右下の親知らずは、手前の歯の根っこを押すように横向きに生えているのが確認できました。

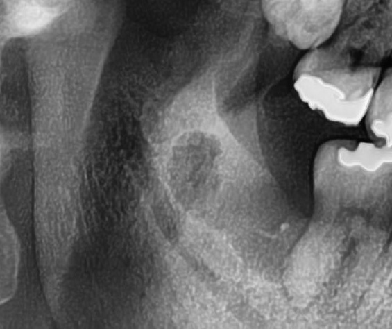
さらに、下顎の親知らずは下歯槽神経に非常に近いところに生えている場合もあるため、CTも撮影し詳しい解析を行います。


親知らずが生えている位置が、神経に近い、あるいは神経に当たっている場合は、大きな病院に紹介する場合もあります。
親知らずの根っこは下歯槽神経から近い距離にありますが、抜歯は可能との診断でした。
脈拍や血圧、酸素飽和度を測り体調を確認し、抜歯の注意事項をお伝えして、さっそく抜歯開始です。
まずは親知らずは歯茎の下に隠れている状態なので、歯茎を切開していきます。
親知らずの周りの骨を最小限削っていき、抜いていくスペースを作ります。
そこから親知らずの頭を輪切りにするように切断して取り除き、最後に根っこの部分を慎重に抜いていきました。
傷口を縫合し抜歯終了です。

下顎の親知らずの抜歯の場合、歯根が下顎の神経に非常に近いケースでは、統計的にしびれた感じか6ヶ月ぐらい継続する症例が200例に1例ほどの割合で起こることがあります。
また、抜歯後の経過には個人差がありますが、痛みや出血、腫れやしびれなどの症状が出る場合があります。
もし、症状が出た場合でも、いずれも数日から1週間ほどで改善するケースがほとんどです。
抜歯後には痛み止めのお薬と、抗生物質、傷口を消毒するためのうがい薬を数日分お渡ししています。
抜歯後の腫れや痛みも軽減することができますので安心してください。
右下親知らずの抜歯、お疲れ様でした。