今日は、当院で行ったインプラントオペの症例をご紹介します。
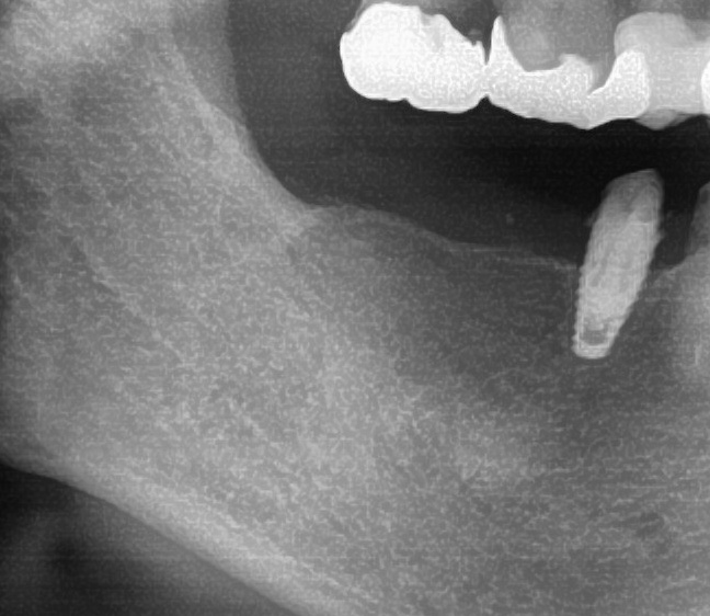
今回の患者様はインプラント植立を希望され、右下6番目・7番目の2本の植立が決まりました。




当日の様子は、まず診療室に入っていただき、簡単にお口の中の全体的なお掃除と麻酔、仮歯を外す処置、CGFのための採血を行います。
CGFとは、患者様自身の血液を専用の遠心分離器で血液を遠心分離して生成した「フィブリン」と傷の治癒や組織の再生に有効な血小板や成長因子を濃縮したゲル状の塊です。
インプラント手術では、骨が足りない部分にCGFを填入したり、膜状にして骨を覆うことで、骨密度が低い人や顎の骨が薄い方など、インプラント手術の可能な範囲が広がり、その後の傷の治癒や骨組織の再生の促進が期待でき、治療期間も短縮できるため、インプラントオペではほぼ必ず使用します。
麻酔が効いている事が確認されると、すぐにオペ開始です。
まずは右下6番目の歯茎から骨の部分までを穴開けパンチの要領で穴を開けていきます。
くりぬいた部分の歯肉を取り除き、次は骨に穴を開けていきます。
ドリルの先端を細い物から徐々に大きい物に変えながら、植立するインプラント体のネジの部分を除いた胴の部分の太さに合わせた大きさの穴を開けていきます。
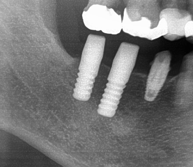
開けた穴に、専用道具を使ってネジを締めるように長さ2センチ程のインプラントを骨に埋め込んでいきます。
続けて他の歯も同じように植立していきます。
インプラントオペでは、複数本を植立する場合でも、当時進行はせず、1本ずつ同じ工程を繰り返して植立します。
しっかりとインプラント埋め込まれた後は、動揺がないか、噛んだ時に当たらないかなどを確認して、最後にパノラマ写真を撮影して今回のオペは終了となりました。


術後の経過には個人差がありますが、痛みや出血、腫れやしびれなどの症状が出る場合があります。
もし、症状が出た場合でも、いずれも数日から1週間ほどで改善するケースがほとんどです。
術前に、痛み止めと抗生物質を飲んでいただくので、術後の腫れや痛みのリスク軽減に効果があります。
その後は定期的にお掃除や検診に通院していただき、約3か月経過した後に、きれいな差し歯を入れていきます。