みなさん、こんにちは。伊藤歯科医院です。
今日は右下の親知らずの抜歯のお話です。
今回の患者様はなんと85歳!右の親知らず以外、すべての歯がきれいに残っています!(左は親知らずも!)
右下の親知らずは過去に何度が治療されていましたが、状態が良くないため今回、抜歯することになりました。
まずはお口の中を確認してみると、右下の親知らずはしっかりと頭が見える状態で生えていました。
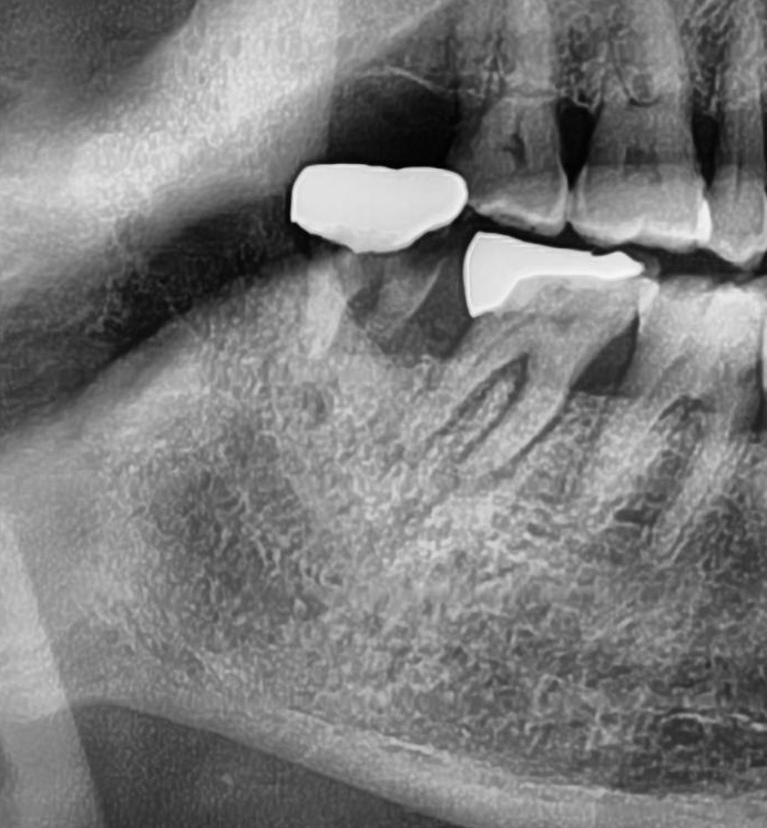
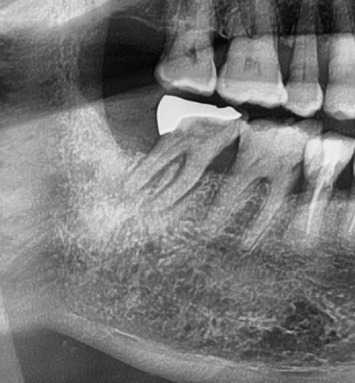
次にパノラマ写真を撮影してみると、親知らずはまっすぐに生えているのが確認できました。

親知らずが生えている位置が、神経に近い、あるいは神経に当たっている場合は、大きな病院に紹介する場合もあります。
親知らずの根っこは下歯槽神経からも十分距離があり、抜歯は可能との診断でした。
脈拍や血圧、酸素飽和度を測り体調を確認し、抜歯の注意事項をお伝えして、さっそく抜歯開始です。
親知らずはしっかりと頭が見えているため、親知らずの頭を掴んで慎重に抜いていきました。
傷口を縫合し抜歯終了です。

下顎の親知らずの抜歯の場合、歯根が下顎の神経に非常に近いケースでは、統計的にしびれた感じか6ヶ月ぐらい継続する症例が200例に1例ほどの割合で起こることがあります。
また、抜歯後の経過には個人差がありますが、痛みや出血、腫れやしびれなどの症状が出る場合があります。
もし、症状が出た場合でも、いずれも数日から1週間ほどで改善するケースがほとんどです。
抜歯後には痛み止めのお薬と、抗生物質、傷口を消毒するためのうがい薬を数日分お渡ししています。
抜歯後の腫れや痛みも軽減することができますので安心してください。
右下親知らずの抜歯、お疲れ様でした。